Looking for expert teeth whitening near you in Berkshire from a highly rated and experienced cosmetic dentist? Our state-of-the-art Ascot clinic can help.
Benefit from the expertise of our highly experienced Berkshire teeth whitening team which includes co-principals Dr Johnny Khabra and Dr Aman Babber, who have over 38 years combined dentistry experience.
To help keep this treatment as affordable as possible, we have ensured our prices are extremely competitive compared to other teeth whitening dentists near us in Ascot, Berkshire.
| Procedure | Cost |
|---|---|
| Zoom! 3 Syringes | £78.00 |
| Zoom! 6 Syringes | £157.50 |
| Zoom! 6 Syringes and Trays | £415 |
| Zoom! Whitening no Trays | £520 |
| Zoom! In-Surgery Complete Teeth Whitening | £700 |
We also offer also flexible payment plans and 0% finance (subject to availability).
Zoom! whitening is the best solution if you're looking to achieve truly stunning results in a short amount of time.
The treatment is performed at our welcoming and state-of-the-art Berkshire practice and can whiten teeth by up to eight shades in under an hour - meaning you can get a great new look during your lunch break!
Enlighten is widely acknowledged as the most effective whitening system in the world with a 98% success rate. It’s the only whitening treatment that guarantees a Vita shade B1 for every patient.

With over 38 years combined dentisty experience, Co-Principals Dr Johnny Khabra (GDC No. 82394) & Dr Aman Babber (GDC No. 82141) both graduated in 2003 and have been prinicpal dentists for over 10 years.
During these years they have developed many skills in terms of patient care and clinical practice, taking professional care and personal pride in delivering every procedure they perform.
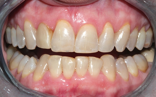
Before Whitening
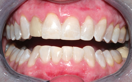
After Whitening
We aim to make all our treatments as affordable as possible. We therefore ensure our teeth whitening prices are extremely competitive compared to similiar professional teeth whitening treatments in Berkshire.
Our teeth whitening prices start from only £415 and we also offer 0% finance to help spread out the cost of payments (subject to status).
Please call 01344 297 001 for more details.
Most people with yellowed or stained teeth are suitable for whitening, though your teeth do need to be in otherwise good condition. Your dentist will initially assess your teeth and advise on the most appropriate options available to you.
Whitening treatments do not work well on porcelain or most bonding materials. This will need to be considered if you have veneers, dentures, crowns or have bonded repairs such as tooth coloured fillings.
Zoom! Whitening is carried out in the practice. Your dentist will first apply a Hydrogen Peroxide gel to your teeth before accelerating its whitening properties under an overhead UV light in 15 minute bursts.
The treatment can additionally be topped up at home using bleaching trays.
The results of Zoom! whitening typically last between 12 and 24 months. Exactly how long the effects last depends on the individual though and, in particular, how well they look after their teeth.
A good oral hygiene routine, combined with avoiding food and drink prone to staining (such as coffee/tea and red wine), will keep teeth whiter for longer.
"I have recently had the Phillips zoom teeth whitening treatment at Eledent Smiles and it was the definitely the right decision! The staff are so friendly and welcoming and go through any questions or queries thoroughly.
The treatment was easy and the results are amazing! Would recommend both the treatment and Eledent Smiles as a whole!"Benjamin Jones![]()