If you're looking for effective protection against gum disease in Ascot then you’ll find all the care and guidance you need at Eledent Smiles. We provide a high level of oral health care at affordable prices and our friendly, experienced team will be delighted to help keep your gums healthy.
Our regular Dental Check-ups are only £45.00 and our Hygiene Appointments start from only £68.00.
For more information on Gum Disease, or to book an appointment, please call 01344 297 001 or fill in our online enquiry form.
Periodontal (gum) disease is very common but can be completely avoided in the majority of cases. Prevention is always better than cure and we recommend that all our patients visit the practice regularly for check-ups and hygiene appointments to ensure their gums are in as healthy a condition as possible.
Maintaining healthy gums is very important. Periodontal disease is the primary cause of adult tooth loss and recent research also links it to other, more serious health conditions such as diabetes and heart disease. Good oral care, both at the practice and at home, can prevent problems from developing.
Your journey towards healthier gums starts here. Call 01344 297 001 or fill in our enquiry form here to book an appointment with a dentist or hygienist today.
Gum disease develops when tartar is allowed to form at the base of teeth, infecting and enflaming the adjoining gums. It can also occassionally occur for other reasons. This can be due to lifestyle factors such as poor nutrition, smoking and stress, or natural reasons such as homonal imbalance or genetic disposition. Some other health issues, including teeth grinding, diabetes and the taking of some medicines, can also increase the risk of Gum Disease developing.
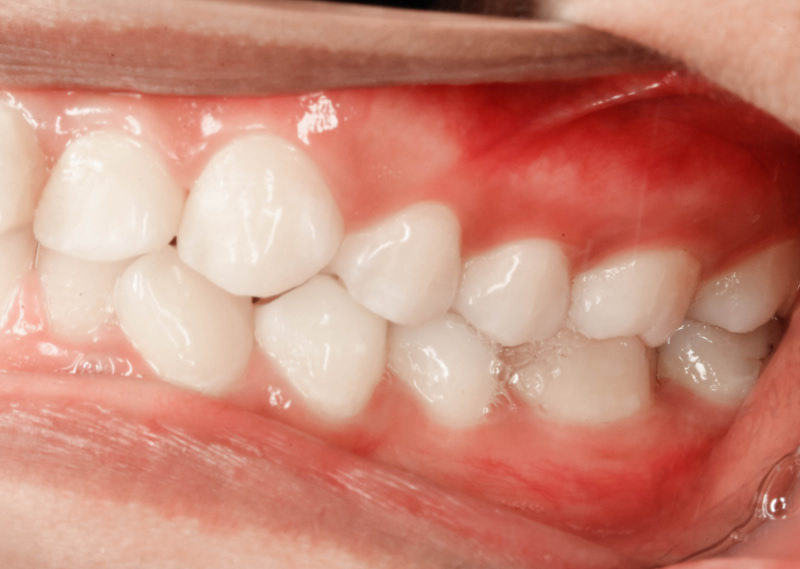
Many people experience bleeding gums during their lives, though most tend to ignore it. Along with bad breath, bleeding gums are one of the major indications of Gum Disease. If you have bleeding or swollen gums then we strongly recommend that you visit your dentist for advice and treatment, as the infection can spread if ignored. If the condition is allowed to develop, it can lead to more serious conditions and, eventually, the loss of teeth.
Although results vary and questions remain, there is significant indication from latest research that Gum Disease may be linked to other, more serious health problems, such as heart disease, stroke, respiratory disease and diabetes. Research is ongoing - though it is clear, even at this stage, that gum health should not be taken lightly.
We aim to make our treatments as affordable as possible and ensure our prices are competitive compared to other local dentists. Our regular Dental Check-ups are only £45.00 and our Hygiene Appointments start from only £68.00. Please call 01344 297 001 for more details.