If you're looking for affordable yet expert composite bonding near you in Berkshire from a highly rated and experienced cosmetic dentist, our state-of-the-art clinic can help.
We can restore chipped, fractured or decayed teeth using cosmetic bonding. The treatment is a quick and simple way to improve the appearance of your smile.
Our friendly and highly experienced cosmetic (composite) bonding team includes co-principals Dr Johnny Khabra (GDC No. 82394) and Dr Aman Babber (GDC No. 82141) who have over 38 years combined dentistry experience.
They will be delighted to advise you on how we can get your teeth back in shape.
Tooth enamel is very durable but it can become damaged for a variety of reasons, such as being chipped in an accident or misshapen by decay. Teeth can also be naturally irregular in appearance, with gaps and irregular lengths being very common.
Cosmetic (composite) bonding is a great way to treat these issues, allowing teeth to be attractively and evenly shaped. It’s a very popular treatment as it is quick and the repairs can be coloured to match the shade of the affected tooth for a natural looking result.
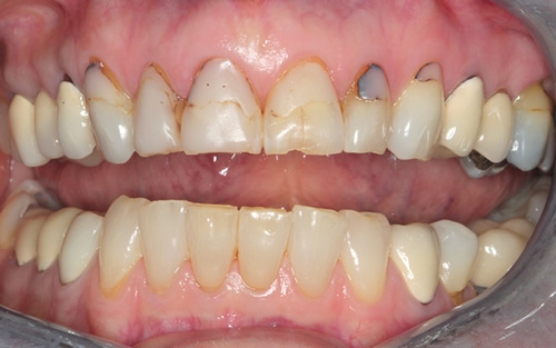
Before Bonding
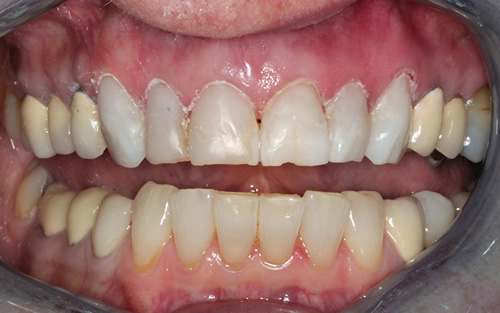
After Bonding
Composite bonding is a cosmetic dental procedure that uses tooth-colored resin to repair or improve the appearance of teeth. It is a minimally invasive procedure that can be completed in a single appointment.
Here are some of the benefits of composite bonding:
We aim to make our treatments as affordable as possible and ensure our prices are competitive compared to other expert composite bonding dentists near us in Berkshire.
Call 01344 297 001 for more details.
The procedure can be carried out in just one visit to the practice and doesn’t require any preparation. The repair is shaped by the dentist during the appointment, unlike laboratory created restorations which require impressions to be taken beforehand.
The dentist will first choose a shade of bonding resin to match your natural tooth colour. To allow the bonding material to securely adhere to the tooth, the surface is roughened slightly and a conditioning liquid is applied.
The resin is then applied onto the tooth where it can be moulded into the desired shape.
The new repair is hardened under a special UV light before being trimmed and polished for the final result.
The treatment is usually painless and in most cases there is no need for an anaesthetic. There are some exceptions though, such as when the damage has been caused by decay.
Your dentist will advise you of what’s involved with your treatment before proceeding.
The resin used in composite bonding is not as strong as natural teeth, so it is more susceptible to chipping or staining.
Also composite bonding can stain over time, so it requires regular maintenance, such as professional cleanings and polishing.
"I used to feel so self-conscious about the stains on my front teeth. Every time I saw a photo of myself it was all I could focus on. They simply looked dirty. Johnny suggested replacing the stained fillings with composites and the results were amazing. I couldn’t believe the difference it made, and I was so glad that Johnny had suggested this as an option for me. No more worrying about smiling!" Mrs J W